Мы часто игнорируем головные боли и не обращаем внимания на их частоту. Принимая таблетки, мы лишь временно снимаем дискомфорт, не задумываясь о причинах. Головная боль — это такой же симптом проблем со здоровьем, как жар при простуде или боль в животе при заболеваниях ЖКТ.
Процедура МРТ при головных болях
Головные боли могут иметь различную природу и причины. Чтобы ответить на вопрос пациента: «Почему у меня болит голова?», врачу необходимо направить его на диагностику и назначить обследования.
Основными методами диагностики являются МРТ и КТ:
- МРТ (магнитно-резонансная томография) — процедура, которая предоставляет полное представление о состоянии исследуемой области и позволяет выявить заболевания. Четкие снимки получаются благодаря воздействию магнитного поля на организм.
- КТ (компьютерная томография) — метод, который также дает четкое изображение обследуемой области, но с использованием рентгеновских лучей, направляемых под разными углами.
Зачем делать МРТ головы при головных болях?
МР-томография позволяет диагностировать опухоли головного мозга, нарушения мозгового кровообращения, сосудистые поражения (например, аневризмы) и последствия различных заболеваний, включая инсульт. Обследование помогает выявить серьезные болезни, которые могут проявляться хроническими или периодическими головными болями.
Если у вас болит голова, врач может направить вас на МРТ или КТ. Эти методы предоставляют детальную информацию о возможных патологиях, но не всегда помогают установить причины головной боли. В случае необходимости специалист проведет более тщательное обследование пациента.
Диагностика мигрени при помощи МРТ
Сильные и продолжительные головные боли, чаще с одной стороны головы, могут указывать на мигрень или заболевания головного мозга с похожими симптомами. К ним относятся раздражение, плохое самочувствие, тошнота и рвота.
МРТ при мигрени назначают для выявления сосудистых патологий, структурных изменений и органических поражений головного мозга.
Что покажет МРТ при мигрени? Приступ мигрени сопровождается расширением сосудов мозга, за которым следует резкий спазм. МР-томограф фиксирует нарушения кровотока во время приступов и выявляет ишемические очаги, которые могут появляться в большом количестве.
Какую МРТ нужно делать при головной боли?
Обследование должно быть полным, чтобы врач мог составить оптимальный план лечения и выяснить причины головной боли. Одним из первых исследований является МРТ головного мозга.
Если результаты МРТ недостаточны, могут быть назначены дополнительные исследования, такие как МРТ шейного отдела позвоночника, а также:
- ультразвуковое дуплексное сканирование сосудов шеи;
- суточное мониторирование артериального давления и ЭКГ;
- анализы крови и мочи.
Выбор метода диагностики при головных болях определяет врач после сбора анамнеза и первичного осмотра пациента.
Определяемые типы головной боли
Головная боль имеет разные виды и причины, а также проявляется различными симптомами.
Синусная боль
Этот тип боли возникает из-за воспаления в носовых пазухах, сопровождающегося насморком, заложенностью носа и отеком слизистой. Боль ощущается в лбу и вокруг носа. Синусная боль проходит после устранения воспаления.
При нарушении кровообращения в мозгу
Нарушение мозгового кровообращения может быть острым или хроническим и часто сопровождается головными болями. В зависимости от клинической картины, это может проявляться как острая боль в голове и глазах, а также сочетаться с головокружением, тошнотой и нарушением сна.
После поражения мозговых тканей
Этот тип головной боли возникает после травм (например, повреждений поверхностных тканей), кислородного голодания и скопления жидкости в тканях. Мягкие ткани головного мозга содержат много нервных окончаний. Болезненность часто ощущается на поверхности головы и может иметь неврологический характер.
При остеохондрозе шеи
При остеохондрозе головная боль начинается в шее и затылке, затем переходит в одну из половин головы. Интенсивность и характер боли могут варьироваться, также возможны головокружение и тошнота.
Как проводится МРТ головного мозга?
Для процедуры пациент ложится на стол-транспортер, который заезжает в томограф — сканирующее устройство. На время обследования пациент остается в трубе и должен сохранять неподвижность для получения четкого изображения. Процедура занимает от 15 минут.
Специальной подготовки не требуется, но необходимо предупредить врача о клаустрофобии, так как это может быть противопоказанием. Если во время МРТ вы почувствуете недомогание, сообщите об этом специалисту, проводящему обследование МРТ головы.
Головные боли после МРТ: что делать?
На сегодняшний день МРТ считается одной из самых безопасных диагностических методик. Однако некоторые пациенты сообщают о сильной боли в затылке или макушке, а также о тошноте и головокружении.
Эти симптомы могут возникать из-за индивидуальных особенностей организма и повышенной чувствительности к подобным воздействиям. Обычно они временные и проходят в течение суток. Врач может дать рекомендации для их облегчения.
Головная боль — самый распространенный неспецифический симптом в мире. Она может указывать на различные заболевания и имеет свои разновидности.
Виды
Среди всех видов головной боли наиболее распространены мигрень и головная боль напряжения.
Обе разновидности могут проявляться как легкой скованностью, так и сильными болями. Боль ощущается в области висков, может отдавать в глаза, затылок или свод черепа.
При головной боли часто наблюдаются вегетативные расстройства, такие как проблемы с дыханием и быстрая усталость.
Мигрень характеризуется приступообразным течением и сильной пульсирующей болью. Приступы могут быть вызваны ярким светом, другими раздражителями или постоянной усталостью. Обычно такие головные боли длятся от получаса до нескольких часов.
Также выделяют третий распространенный вид головной боли — кластерную (пучковую). Она отличается внезапным появлением и ощущается только с одной стороны головы. Приступы могут повторяться в течение нескольких месяцев или прекращаться за неделю.
Причины возникновения
Боль в голове может возникать по разным причинам — от усталости до инфекционного заболевания. Однако механизм возникновения болевых ощущений остается одинаковым. Рассмотрим его подробнее.
Сначала начинается воспалительный процесс, затрагивающий центральную нервную систему. Затем раздражаются оболочки головного мозга.
Это происходит по двум причинам: во-первых, повышается давление спинномозговой жидкости, во-вторых, происходит отравление организма. В конце процесса возникает спазм, и кровеносные сосуды расширяются.
Некоторые специалисты выдвигают теорию о психическом источнике головной боли. На первый взгляд, причины такой боли могут быть очевидны, но на самом деле их много. Рассмотрим наиболее распространенные:
- Инфекционные заболевания;
- Опухоли в области головы;
- Повышенное артериальное давление;
- Заболевания носовых пазух;
- Гормональные нарушения;
- Чувствительность к изменениям погоды.
Обследования
Первичным врачом, к которому следует обратиться, является невропатолог. При головной боли пациент проходит ряд обследований, которые назначает врач. В первую очередь проводится опрос, в ходе которого уточняются длительность и характер боли.
Справка: Для первичной диагностики заболевания необходимо пройти осмотр у нескольких специалистов, таких как невролог, стоматолог, окулист, а также сдать анализы. Обычно требуется пройти обследования с использованием современных медицинских технологий.
Дифференциальная диагностика
Боль в голове может иметь множество причин, поэтому важна дифференциальная диагностика. Главная задача врача — установить связь между конкретной головной болью и определённым заболеванием. Лечение только симптомов не принесёт пользы.
Предлагаем последовательность необходимых обследований:
-
Опрос пациента. Важно выяснить срок появления болей, их последовательность, характер и локализацию. Также следует узнать, как организм реагирует на анальгетики. Многие пациенты не могут точно описать свою боль при первом визите к врачу.
-
После опроса врачи назначают исследования, которые нужно пройти в ближайшее время. Важно выбрать правильные диагностические мероприятия, чтобы пациент быстрее получил лечение.
Какое МРТ делать?
Если головная боль сильная и длительная, сопровождается симптомами, такими как раздражительность, плохой сон, расстройства желудка, рвота и тошнота, это может указывать на серьезные заболевания головного мозга.
При диагностике может быть назначено МРТ головного мозга для проверки сосудистых патологий. Мигрень возникает из-за временного сужения сосудов в мозге, что приводит к спазму. МРТ позволяет выявить нарушения кровотока и ишемические изменения.
Некоторые пациенты отмечают усиление головной боли после МРТ. Причина этого явления не установлена, так как метод основан на безвредном электромагнитном воздействии.
Все обследования должны быть комплексными, чтобы врач мог увидеть полную картину заболевания и назначить точное лечение. Обычно специалисты начинают с МРТ мозга.
Важно! Если причина головной боли не ясна после МРТ, может потребоваться дополнительная диагностика шейного отдела позвоночника.
Эти процедуры проводятся независимо от наличия головной боли. Полный сбор анамнеза поможет врачу получить необходимую информацию.
Предлагаем вам ознакомиться с интересным видео по теме:
https://youtube.com/watch?v=Q8RhTaHKCL8
Электроэнцефалография
Эта процедура полезна для сбора анамнеза при головных болях. Она позволяет выявить отклонения в работе мозга, поражения сосудов и ранние признаки опухолей.
Рентген
С помощью рентгена можно выявить гидроцефалию и другие травмы.
Процесс основан на том, что рентгеновские лучи проходят через организм и его ткани. Не все ткани одинаково пропускают эти лучи, так как они различаются по плотности. Это различие фиксируется на пленке в виде менее ярких участков. Мягкие ткани отображаются более темным цветом.
Врач, анализируя полученные изображения, может определить поврежденные ткани, выяснить причины повреждений и назначить лечение. Этот метод обследования прост и не требует сложной аппаратуры, а также стоит значительно дешевле по сравнению с другими методами. Поэтому рентген часто используется в качестве первого шага в диагностике. Однако следует помнить, что рентген головы применяется для оценки целостности костей черепа.
Компьютерная томография
Этот вид диагностики позволяет выявить наличие кровоизлияний в головном мозге и изменения его структуры. Он помогает точно определить наличие опухолей, кист, аневризм и других образований в организме, в частности в голове.
Электромиография
Такое обследование проводится для определения повреждений нейромышечного аппарата человека, то есть повреждений нервных волокон.
Лабораторные исследования
Лабораторные процедуры определяют наличие инфекций и различных воспалений в организме человека.
УЗИ
Данное диагностическое мероприятие расшифровывается как ультразвуковая диагностика. В данном случае исследуется голова для выявления атеросклероза и других сосудистых проблем, связанных с артериями и капиллярами.
Заключение
Категорически запрещено ставить диагноз самостоятельно. Головная боль может быть симптомом серьезных заболеваний, таких как опухоль или кровоизлияние в мозг. Поэтому лечение головной боли должно начинаться с визита к врачу. Следуя его рекомендациям, можно эффективно справиться с недугом.
МРТ при головных болях (в трех проекциях) позволяет получить объемные изображения, что помогает выявить даже незначительные изменения и отличить патологию от нормы.
Причин головной боли множество, и не всегда их можно определить без современных методов визуализации. Цефалгию могут вызывать повышенное внутричерепное давление, сосудистые мальформации, опухоли и посттравматические осложнения. Выбор между МРТ и КТ зависит от предполагаемой патологии. Оба метода взаимодополняют друг друга, но решение о том, что лучше в конкретном случае, принимает врач, учитывая жалобы, показания и противопоказания. МРТ и КТ с контрастом обеспечивают сопоставимое качество снимков, но используют разные принципы построения изображений. Чем раньше будет установлена причина и начато адекватное лечение, тем выше шансы на полное выздоровление.
Какую МРТ делать при головных болях?
Существует несколько видов магнитно-резонансной томографии (МРТ) головы: нативная, с контрастным усилением и ангиорежим. Ответ на вопрос: “Какую МРТ делать при головной боли?” зависит от клинической картины, и врач выбирает подходящий тип исследования.
Для оценки опухолевых новообразований и определения стадии, включая метастатическое распространение, используется МРТ с контрастированием. Препараты на основе хелатов гадолиния помогают выявить даже небольшие опухоли в труднодоступных местах, что делает этот метод эффективным, если другие визуализационные методы дали неоднозначные результаты. При подозрении на сосудистые заболевания головного мозга рекомендуется ангиорежим.
Причины головной боли
Необъяснимая цефалгия, возникающая регулярно и ухудшающая качество жизни, не является нормой. Сильная боль — это веский повод для проведения МРТ головного мозга и отказа от самолечения.
Любая повторяющаяся головная боль сигнализирует о патологическом процессе, который требует уточнения. Самостоятельный прием таблеток для снятия симптомов — не самый разумный вариант, так как препараты устраняют лишь следствие, не влияя на причину цефалгии. Бесконтрольное лечение может привести к осложнениям: некоторые анальгетики способствуют развитию злокачественных новообразований в почках и мочевом пузыре. Длительный прием лекарств может вызвать нефропатию и хроническую почечную недостаточность.
МРТ головного мозга может выявить:
- опухолевые процессы (доброкачественные и злокачественные);
- последствия травм (гематомы, кровоизлияния);
- демиелинизацию при рассеянном склерозе и других атрофических процессах;
- инфекционные поражения;
- аневризмы, диссекции, стенозы и сосудистые мальформации, включая врожденные аномалии;
- дегенеративные процессы в сосудах на фоне атеросклероза;
- острые (ишемический или геморрагический инсульт) и хронические нарушения мозгового кровообращения.
Ноющая боль в затылочной зоне при нормальном артериальном давлении чаще всего связана с остеохондрозом. При повышении температуры, выраженной слабости и напряжении мышц необходимо исключить менингит. Внезапная острая боль в затылке, распространяющаяся на другие участки головы, может указывать на субарахноидальное кровоизлияние (разновидность инсульта).
Частые головные боли
Онкологи подчеркивают, что при нарастающих головных болях и других необъяснимых симптомах (обмороках, ухудшении памяти, выпадении полей зрения, давлении на глазные яблоки и др.) необходимо в первую очередь исключить опухолевую патологию.
Частые головные боли могут быть вызваны различными причинами, и иногда они сигнализируют о серьезном заболевании. В 90% случаев после определения причины возможно адекватное лечение, которое улучшает качество жизни. Состояния, при которых часто наблюдается цефалгия, включают:
- мигрень;
- гипертонию;
- посттравматические осложнения;
- опухоли;
- сосудистые заболевания.
Если причина головной боли не установлена, рекомендуется пройти МРТ головы. Не стоит сразу подозревать у себя смертельные заболевания. Например, боль в затылке может быть связана с переутомлением, и нормализация режима труда и отдыха поможет решить проблему. При повышенном давлении часто наблюдаются головокружение, покраснение кожи и шум в ушах. Боль в лобной части головы обычно вторична и проходит после приема гипотензивного лекарства. Однако гипертония может быть связана с сосудистыми патологиями или опухолевой компрессией, поэтому МРТ при сильных головных болях является важным этапом в дифференциальной диагностике.
Если делать МРТ, когда не болит голова
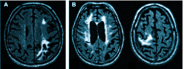
Множественные ишемические очаги при сосудистой деменции на МРТ: отсутствие памяти на недавние события и неадекватное поведение не являются нормой для пожилых людей. Своевременная диагностика деменции и патогенетическая терапия могут замедлить прогрессирование болезни.
МРТ — это обследование, которое проводят не только при головной боли. Магнитно-резонансная томография помогает установить причины следующих жалоб:
- кратковременные потери сознания, необъяснимые первичной диагностикой;
- мелькание мушек перед глазами и прогрессирующее ухудшение зрения (в рамках комплексной офтальмологической диагностики);
- повышение артериального давления и устойчивость к гипотензивным препаратам;
- периодическая тошнота и рвота при обнаружении изменений глазного дна (признаки повышенного внутричерепного давления);
- эпилептические припадки;
- ухудшение памяти и слабоумие (деменция);
- постоянный шум в ушах;
- дискоординированность движений (шаткая походка, подволакивание нижних конечностей и др.);
- головокружение.
Врач определяет вид и объем обследования. Иногда требуется оценка не только структур мозга, но и воротниковой зоны, так как головокружение и головная боль могут быть связаны с шейным остеохондрозом, грыжей или воспалением нерва.
МРТ головного мозга необходимо при некоторых эндокринологических патологиях, поскольку гормональные нарушения могут быть вызваны сдавлением опухолью важных структур, отвечающих за деятельность желез. Томограммы показывают изменения в гипоталамусе и гипофизе. МРТ при головных болях и головокружении, а также при подозрении на опухоль или сосудистые патологии можно пройти в диагностическом центре “Медицина Северной столицы”.
Виды головной боли
Боль при шейном остеохондрозе сначала возникает в затылке, а затем может распространяться на лобно-височную область головы.
Болевой синдром при различных патологиях отличается по интенсивности, локализации и длительности. Он может сопровождаться такими симптомами, как тошнота, выпадение полей зрения и потеря сознания. Цефалгия может развиваться самостоятельно или быть связана с другими состояниями. Специалисты рекомендуют обратиться к врачу, если регулярно беспокоит ноющая, мигренеподобная или распирающая головная боль в темечке, затылке или висках. В этом случае необходимо пройти первичную диагностику, которая включает:
- общий анализ крови;
- измерение артериального давления (тонометрию);
- УЗДГ сосудов головы и шеи;
- рентгенографию костей черепа.
Не всегда эти обследования позволяют выявить органическую причину, поэтому может потребоваться МРТ головы. Томограммы помогают предположить доброкачественный или злокачественный характер поражения, но окончательный диагноз устанавливается только при морфологическом исследовании ткани из подозрительного участка.
Головная боль после МРТ
Не стоит бояться обследования: страхи иррациональны, а головная боль после МРТ — это реакция на стресс или симптом заболевания, ради диагностики которого и проводится исследование.
МРТ — это неинвазивный метод, основанный на создании изображений с помощью радиоволн и мощного магнитного поля, что абсолютно безопасно для здоровья. Головные боли после процедуры могут быть вызваны нервным перенапряжением в ожидании результата и являются индивидуальной реакцией на стресс. Магнитно-резонансное сканирование длится около 30-40 минут, и важна максимальная неподвижность пациента. Шум аппарата можно уменьшить с помощью наушников с музыкой. Во время процедуры не возникает болевых ощущений. При необходимости можно повторить МРТ для отслеживания ситуации. Некоторые впечатлительные пациенты отмечают усиление головной боли после исследования, но специалисты считают, что это связано с основным заболеванием или самовнушением. Цефалгией функционального или психогенного генеза занимаются неврологи, психиатры или терапевты, а МРТ помогает выявить изменения органического характера.
Что покажет МРТ головы с контрастом
После контрастирования при МРТ детализация мелких структур значительно возрастает. Онкологи предпочитают магнитно-резонансную томографию с усилением, так как это позволяет увидеть контуры опухоли, определить степень ее инвазии и диагностировать метастазы. МРТ с контрастом лучше выявляет изменения после операции и патологические очаги в головном мозге при рассеянном склерозе и болезни Альцгеймера. Чаще всего используются препараты на основе хелатов гадолиния. Мировая практика подтверждает высокий профиль безопасности: при правильном применении осложнения возникают крайне редко.
В каких случаях противопоказаны МРТ и КТ
МРТ и КТ не назначают на ранних сроках беременности (до 12 недель), за исключением случаев, угрожающих жизни, когда обследование возможно по направлению консилиума. МРТ противопоказано при наличии электронных устройств или ферромагнитных имплантов. Относительным противопоказанием является клаустрофобия или невозможность лежать неподвижно. В таких случаях МРТ при головной боли и головокружении проводят в стационаре с предварительным введением седативных препаратов.
КТ с контрастом выполняется только по направлению врача, так как имеет больше противопоказаний по сравнению с МРТ:
- аллергия на йод;
- сахарный диабет (прием Метформина и аналогов);
- гиперфункция щитовидной железы;
- заболевания почек с повышенным уровнем креатинина;
- беременность на любом сроке.
Пациентам с сахарным диабетом рекомендуется прекратить прием Метформина за 48 часов до процедуры после согласования с эндокринологом. Кормящим матерям советуют сделать запас молока на два кормления.
Современные методы визуализации часто дополняют друг друга. Выбор между МРТ и КТ при головной боли зависит от конкретной ситуации, поэтому лучше, если исследование назначит врач.






