Каждому из нас знакомо состояние, когда возникает головная боль, сопровождающаяся физической слабостью. Это часто происходит в конце рабочего дня, при простуде или эмоциональном напряжении. Однако такие симптомы могут указывать на более серьезные патологии, требующие обращения к специалисту. Знаете ли вы, как определить причину головной боли и что делать для ее устранения?
Причины состояния
Головная боль и слабость могут возникать по различным причинам:
- простудные или вирусные респираторные заболевания;
- воспалительные процессы в организме;
- снижение артериального давления (гипотония);
- нехватка витаминов и минералов (например, витаминов D и B12, необходимых для транспортировки кислорода к головному мозгу);
- бесконтрольный прием некоторых лекарств, вызывающих эти симптомы как побочные эффекты;
- нарушения работы щитовидной железы, сахарный диабет и другие эндокринные заболевания;
- эмоциональные нагрузки и стрессы;
- некоторые желудочно-кишечные заболевания, приводящие к нарушению усвоения питательных веществ;
- сердечно-сосудистые болезни;
- менингит;
- доброкачественные и злокачественные опухоли;
- мигрень;
- синдром хронической усталости;
- недосыпание.
Как определить заболевание?
Причины головной боли и усталости могут быть разнообразными. Как же определить, являются ли эти симптомы признаками опасного заболевания?
Мнение эксперта
Филимошин Олег Александрович
Врач-невролог, городская поликлиника г. Оренбурга.
Образование: Оренбургская государственная медицинская академия.
Важно помнить, что серьезные заболевания обычно сопровождаются рядом дополнительных симптомов, которые помогают различить конкретные проблемы.
ОРВИ
Описание
Задайте вопрос врачу-неврологу бесплатно
Ирина Мартынова. Закончила Воронежский государственный медицинский университет им. Н.Н. Бурденко. Клинический ординатор и невролог БУЗ ВО «Московская поликлиника». Задать вопрос>>
Группа заболеваний, характеризующихся острым воспалительным процессом в органах дыхания из-за вирусной инфекции.
Тип боли
При ОРВИ боль связана с повышением температуры и воспалением в горле, пазухах и носоглотке.
Боль чаще всего локализуется в области лба и висков, сопровождается чувством давления и тяжести.
Другие проявления
ОРВИ может вызывать повышение температуры до 38-39 градусов, заложенность носа, кашель, воспаление горла, ломоту в теле, озноб, общее недомогание и резь в глазах. Иногда возникают осложнения, такие как отит, ларингит или бронхит.
Методы диагностики и терапии
Диагностику проводит терапевт или ЛОР-врач. Лечение назначается на дому и включает: постельный режим, микстуры от кашля, сосудосуживающие капли, растительные отвары для полоскания горла, чай с малиной и медом, а также средства для укрепления иммунитета (Анаферон, настойка эхинацеи, Иммунал).
Мигрень
Описание
Мигрень (migraine) — это неврологическое заболевание, основным признаком которого являются мучительные головные боли, вызванные нарушением работы сосудов.
Мнение эксперта
Митруханов Эдуард Петрович
Врач-невролог, городская поликлиника, Москва.
Образование: Российский государственный медицинский университет, ГБОУ ДПО Российская медицинская академия последипломного образования МЗД РФ, Волгоградский государственный медицинский университет, Волгоград.
При мигрени отсутствуют серьезные органические патологии, такие как травмы или опухоли.
Тип болевых ощущений
Мигрень проявляется сильными и мучительными головными болями средней или высокой интенсивности. Боль усиливается при движении и может быть эпизодической или постоянной, локализуясь с одной стороны головы (реже — с обеих). Без лечения приступы могут длиться до 72 часов.
Другие проявления
Сопутствующие симптомы включают тошноту, рвоту, фонофобию (чувствительность к громким звукам), учащенное сердцебиение, частое мочеиспускание, потливость, сонливость и вялость.
Методы диагностики и терапии
Диагностику проводит врач-невролог. Диагноз устанавливается на основе анализа жалоб пациента, лабораторных исследований, рентгенографии и МРТ.
Для лечения используются успокоительные средства (экстракт валерианы, Персен, Тенотен), растительные и синтетические антидепрессанты (настойка зверобоя, амитриптилин), НПВП (напроксен, ибупрофен) и анальгетики.
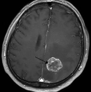
Злокачественная опухоль
Описание
Злокачественная опухоль представляет собой патологическое новообразование, состоящее из раковых клеток, которые быстро растут и способны метастазировать, что угрожает жизни человека.
Тип боли
Интенсивность и характер болевого синдрома зависят от локализации опухоли, стадии заболевания и индивидуальных особенностей пациента.
Другие проявления
На ранних стадиях опухоль может не проявляться, пока не начнет интенсивно расти. В этот момент состояние пациента ухудшается, могут возникать тошнота, утомляемость, рвота, нарушения слуха и зрения, трудности в распознавании речи, а также расстройства общей и мелкой моторики.
Клиническая картина рака разнообразна и сложна.
Методы диагностики и терапии
Диагностика включает комплексное обследование: КТ, МРТ, рентген, лабораторные анализы, гистологию и цитологию. Лечение обычно хирургическое, с возможным назначением курса химиотерапии или лучевой терапии, а затем длительного медикаментозного поддерживающего лечения.
Менингит
Описание
Менингит — тяжелое инфекционное заболевание, характеризующееся воспалением головного и спинного мозга из-за попадания в организм бактерий, вирусов или грибков.
Может возникать как самостоятельное заболевание или как осложнение.
Тип боли
Боль очень сильная, резкая, диффузная и распирающая. Она усиливается при движении, повороте головы, а также от резкого шума и яркого света. При гнойном менингите болевой синдром особенно выражен.
Другие проявления
Пациентов могут беспокоить ломота в теле, тошнота, рвота, ригидность шеи, лихорадка, чувствительность к звукам и свету, измененное состояние сознания, раздражительность и сонливость.
Методы диагностики и терапии
Для диагностики менингита используется люмбальная пункция. Врач извлекает спинномозговую жидкость из позвоночного канала и направляет ее в лабораторию для исследования. Диагноз подтверждается при обнаружении вредоносных возбудителей (бактерий или вирусов). Лечение менингита включает антибиотики, противовирусные или противогрибковые препараты в зависимости от типа возбудителя.
Иногда назначаются стероидные препараты.
Боррелиоз
Описание
Боррелиоз (болезнь Лайма) — инфекционное заболевание, передающееся человеку через укусы клещей и насекомых.
Тип боли
При боррелиозе наблюдаются сильные головные боли, часто локализованные в глазном яблоке и отдающие в затылок. Симптомы сохраняются даже во время сна.
Другие проявления
Среди других симптомов — ломота и скованность в мышцах и суставах, высокая температура (до 40 градусов), тошнота, рвота, вялость, а также нарушения работы центральной нервной системы и сердечно-сосудистой системы.
Болезнь преимущественно поражает кожные покровы, нервную и сердечно-сосудистую системы, а также опорно-двигательный аппарат.
Способы диагностики и лечения
Диагностика болезни Лайма основывается на клинической картине, эпидемиологическом анамнезе (например, прогулка в лесу или укус клеща) и серологическом исследовании на наличие антител к боррелиям в сыворотке крови. Используются методы ИФА или ПЦР. Лечение комплексное, выбор препаратов зависит от тяжести заболевания. Обязательно назначаются антибиотики, нестероидные противовоспалительные препараты (например, Напроксен, Индометацин), иммунодепрессанты (Плаквенил), анальгетики и общеукрепляющие средства.
Артериальная гипертония
Описание
Гипертония — заболевание сердечно-сосудистой системы, характеризующееся стойким повышением артериального давления (140/90 мм рт. ст. и выше).
Тип боли
Боль при гипертонии может быть сжимающей или генерализованной, пульсирующей, иногда создающей ощущение плотной повязки на голове.
Обычно она усиливается по утрам и затихает в течение дня.
Другие проявления
Среди других симптомов — тошнота, заложенность и шум в ушах, пелена перед глазами, учащенное сердцебиение, давление в глазах, головокружение, вялость и подавленность.
Методы диагностики и лечения
Диагноз ставит кардиолог на основе анамнеза, жалоб пациента, холтеровского мониторирования, ЭКГ и регулярного измерения давления. Лечение комплексное и медикаментозное.
Врач может назначить блокаторы рецепторов ангиотензина, диуретики, антагонисты калия, препараты для очищения сосудов и другие средства.
Абузусная головная боль
Описание
Специалисты называют эту головную боль «рикошетной» или «лекарственной». Она возникает из-за злоупотребления аптечными препаратами и относится к вторичным формам цефалгий, тесно связанным с мигренью.
Тип боли
Боль проявляется двусторонней цефалгией сжимающего или давящего характера, умеренной или слабой интенсивности. Она может быть диффузной или локализоваться в лобно-затылочной или височной области.
Боль усиливается при интеллектуальной и физической нагрузке.
Другие проявления
Сопутствуют усталость, вялость и подавленное настроение.
Методы диагностики и терапии
Диагностика основывается на анамнезе и опросе пациента о принимаемых препаратах. Для устранения абузуса снижают дозировку лекарства или полностью его отменяют, назначают средства от цефалгии, иногда антидепрессанты.
В тяжелых случаях может потребоваться детоксикация.
Другие причины
Слабость и головные боли могут возникать не только при перечисленных заболеваниях, но и при других состояниях:
-
Заболевания придаточных пазух носа (гайморит, этмоидит, фронтит). При синуситах пациенты жалуются на головную боль, общую слабость, заложенность носа, давление и тяжесть в голове, особенно при наклоне вниз.
-
Аллергические реакции. Эти симптомы часто проявляются весной во время цветения, особенно при аллергии на пыльцу. Пациенты отмечают головную боль, сонливость, заложенность носа, слезотечение, сыпь и другие признаки поллиноза.
-
Гиперсомния — это состояние, характеризующееся продолжительным ночным сном без объективной необходимости и дневной усталостью. Основные симптомы включают сонливость, усталость и головную боль. Астения является одной из форм гиперсомнии.
-
Анемия (малокровие) также проявляется вялостью, усталостью и болевыми ощущениями. У пациентов с анемией наблюдается снижение уровня гемоглобина, недостаточность эритроцитов и нехватка кислорода в крови, что приводит к неприятным симптомам.
-
Сахарный диабет и другие эндокринные проблемы могут вызывать указанные симптомы. Диабет сопровождается повышением уровня сахара в крови, пониженным давлением, головокружением, сонливостью и жаждой.
Это лишь часть заболеваний, при которых могут возникать слабость и головная боль.
Истинную причину этих симптомов может установить только специалист.
Алгоритм диагностики
Способы и методы диагностики подбираются индивидуально. Сначала врач осматривает пациента, оценивает характер жалоб и расспрашивает о перенесенных болезнях и хронических недугах. Затем уточняется локализация болевых ощущений, их длительность и частота возникновения.
Примерный список вопросов
- Как долго вас беспокоит болевой синдром и слабость?
- В каком месте вы ощущаете боль?
- Как часто проявляются эти симптомы?
- Ощущаете ли вы тошноту во время приступов?
- Бывают ли у вас головокружения?
- Усиливаются ли симптомы при физической нагрузке?
- Влияет ли ваше состояние на общую активность в течение дня?
- Наблюдали ли вы у родственников похожие симптомы?
- Чем вы облегчаете неприятные ощущения?
- Какие лекарства вы принимаете в настоящее время?
- Какими заболеваниями вы страдали в последние месяцы?
- Есть ли у вас или ваших ближайших родственников хронические заболевания?
Если консультации с пациентом недостаточно, врач назначает дополнительные методы диагностики, такие как лабораторные анализы, ЭКГ, МРТ и другие.
На основе полученных данных будет установлен точный диагноз.
Как снять симптомы самостоятельно?
Если неприятные симптомы вызваны физической усталостью, умственными нагрузками или напряжением в течение рабочего дня, болевой синдром можно устранить самостоятельно, без лекарств.
Положительное влияние оказывают пешие прогулки на свежем воздухе, контрастный душ, теплая ванна с морской солью, проветривание помещения и медитация. Можно просто полежать, расслабиться, послушать спокойную музыку или почитать легкую книгу.
При головной боли полезно приготовить ароматный чай с листьями мяты, шиповником, лимоном, клюквой или ромашкой. Эти напитки укрепляют, успокаивают, придают силы, повышают иммунитет и улучшают работу мозга.
В некоторых случаях можно принять простые обезболивающие средства (например, Ношпу или Спазган).
Однако помните, что у каждого препарата есть противопоказания и побочные действия, поэтому лучше проконсультироваться с врачом перед их применением.
В каком случае обращаться к врачу?
Пациенту важно знать: если головные боли и усталость сопровождаются другими симптомами, такими как тошнота, рвота, нарушение зрения, чувствительность к громким звукам или дезориентация, необходимо срочно обратиться к врачу!
Посмотрите видео на эту тему.
https://youtube.com/watch?v=Cn2VSzeuKQo
Заключение
Слабость и головная боль — распространенные симптомы, с которыми врачи часто сталкиваются. Обычно они не угрожают здоровью и легко купируются домашними средствами или легкими медикаментами.
Однако в некоторых случаях эти признаки могут указывать на серьезные заболевания. Поэтому важно внимательно следить за своим самочувствием и при необходимости обращаться к врачу. Будьте здоровы.
Иногда люди испытывают сильные и регулярные боли в затылке. У разных людей эти боли могут проявляться по-разному: от резкой и острой до тупой, с ощущением распирания. Причин, вызывающих боль в затылке или лбу, много.
Часто боли возникают после тренировок или физических нагрузок. Одной из причин может быть постоянный стресс, который приводит к слабости и усталости. Иногда боль отдает в плечи.
Если головные боли продолжаются долго, например, год, и сопровождаются болями в височной области или задней части головы, а также частой слабостью и ухудшением самочувствия после тренировок, это может указывать на заболевания или неправильное расположение черепных соединений, неправильный прикус, болезни шеи (остеохондроз, грыжа), гипертонию, длительную мигрень или спазмы сосудов в области затылка.
Боли в лбу и затылке часто связаны с шейным отделом или травмой головного мозга. Если вы испытываете слабость, боль в лбу, отдающую в затылок, или боли в костях головы после травмы, необходимо немедленно обратиться к специалисту, так как это может привести к серьезным осложнениям.
Если болит какая-либо косточка в голове, лоб и затылок, и после тренировок состояние ухудшается, это может быть связано с заболеваниями сосудов в шейной области. Такие боли часто возникают из-за малоподвижного образа жизни, неправильной осанки и заболеваний шейных позвонков.
Шейный остеохондроз
При этой болезни происходит смещение позвонков, что вызывает шейную и головную боль, а также дискомфорт в лбу и затылке. Иногда наблюдаются тошнота, ухудшение зрения и головокружение, что может привести к нарушению координации движений. Также могут появляться «мушки» перед глазами. После физической нагрузки возникает головная боль и затрудняется движение. Часто наблюдаются мигрени и боль в височной области.
Шейный спондилез
Болезнь проявляется в виде наростов на позвоночнике, которые ограничивают движение. Также возникают регулярные головные боли, усиливающиеся при движении. Из-за болей во время сна наблюдается недосып.
Гипертония
Болезнь, при которой повышается артериальное давление, сопровождается частыми и сильными головными болями в затылке. Обычно также наблюдаются тошнота, усталость, головокружение и учащенное сердцебиение.
Шейный миозит
Эта болезнь часто возникает после простуды или травм. Она может появиться из-за длительного нахождения в неудобном положении. После резких движений головой или тряски может возникнуть боль в затылке или лбу. Часто боль иррадиирует в спину и грудь. Обычно одна сторона головы болит сильнее, чем другая.
Миогелоз шейного отдела позвоночника
Болезнь, при которой возникают утолщения в шейном отделе, может вызывать головные боли и головокружение во время или после тренировки. Частой причиной боли является невралгия шейных нервов. Боли проявляются приступами и отдаются в лицо, ухо, шею и спину, усиливаясь при движениях. Они имеют резкий и острый характер.
Сосудистые боли возникают из-за воспаления сосудов. Они проявляются резкой болью в затылке и лбу, особенно во время движений. В лежачем положении боль становится менее интенсивной. После тренировки она усиливается из-за спазма сосудов. Иногда могут появляться мурашки по всему телу.
Профессиональные боли
Боли часто возникают у людей с малоподвижным образом жизни, например, у офисных работников или водителей. Длительное сидение может приводить к дискомфорту и болям.
Повышенное внутричерепное давление
Боль начинается в затылке, затем охватывает лоб и другие участки головы. Ощущается сдавливание и тяжесть, может возникать тошнота. Также возможно проявление мигрени, сопровождающейся непереносимостью света и звука.
Нарушение прикуса
Незначительная болезнь может привести к серьезным последствиям. В области затылка возникает резкая и постоянная боль, усиливающаяся к вечеру. Это может нарушить сон и продолжаться несколько дней.
Что следует делать в первую очередь?
Сначала следует временно прекратить тяжелые тренировки, если после них возникают боли в лбу и затылке. При болях в костях рекомендуется пройти физиотерапию. Важно исключить стресс и агрессию, навести порядок в своих мыслях. Вредные привычки, такие как курение и алкоголь, также могут вызывать боли в лбу и затылке. Если боли продолжаются год, стоит обратить внимание на образ жизни и избегать сложных тренировок.
Еще одной причиной болей в лбу и затылке может быть нехватка витаминов, таких как йод или магний. В этом случае рекомендуется проконсультироваться с врачом и следовать его рекомендациям.
Для назначения эффективного лечения при сильных болях в затылке и лбу необходимо выяснить их причины. Пациент должен пройти полное обследование у специалистов, включая невролога и стоматолога, а также сделать рентген шейного отдела позвоночника. Лечением головных болей занимаются не только узкие специалисты, но и врачи различных направлений, в зависимости от причины боли. Чаще всего помогают мануальные терапевты и массажисты, а также физиотерапевты. Если боль вызвана остеохондрозом или профессиональными факторами, массаж может быть очень полезен. Однако при высоком внутричерепном или артериальном давлении массаж противопоказан, так как это может усугубить состояние.
Правильная физиотерапия — одно из лучших решений для лечения головной боли. При остеохондрозе и миогелозе часто применяются ультразвуковые и магнитные процедуры, а также электрофорез. Если причина боли связана с нарушением прикуса, необходима консультация стоматолога, поэтому не стоит откладывать лечение.
Народная медицина
Существуют альтернативы лечению в больнице для тех, кто предпочитает народную медицину. При головной боли в области лба и затылка полезно регулярно проветривать помещение и увлажнять воздух с помощью специальных приборов. Наложение компресса на голову и увеличение потребления жидкости также могут помочь. Компресс можно сделать из промятых капустных листьев, накрошенного лука или растертого хрена. Рекомендуется пить горячий крепкий чай из ромашки или липы, а также употреблять шалфей, мяту и мелиссу. Важно исключить или минимизировать употребление алкоголя и табака, так как вредные вещества могут усилить боль. Если проблема связана с профессиональной деятельностью, стоит обустроить рабочее место максимально удобно и рассмотреть возможность использования ортопедических изделий. Сон на ортопедической подушке может значительно улучшить качество отдыха, особенно при бессоннице, так как она способствует расслаблению мышц.








